Жалобы ялтинца на тугоухость оказались вызваны гигантской опухолью мозга
Она выросла в крошечном пространстве у основания черепа, где буквально «упакованы» жизненно важные структуры: нервы, отвечающие за мимику, зрение, глотание, дыхание, а также сам ствол мозга — центр управления жизнью.
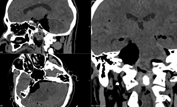
«В наш центр пациент поступил с жалобами на прогрессирующую одностороннюю тугоухость, постоянный шум в правом ухе, нарастающую неустойчивость при ходьбе и снижение чувствительности в области лица. На МРТ головного мозга визуализировалась гигантская вестибулярная шваннома — доброкачественная, но крайне опасная опухоль, которая развивается из черепных нервов», — сообщил нейрохирург центра ФМБА Андрей Ситников.
По словам специалиста, опухоль размером с орех уже сдавливала ствол мозга — центр дыхания и сознания, кроме того, возникал риск смертельно опасного повышения давления в черепе, сохранялась угроза необратимого паралича лицевого нерва уже страдали функции глотания и речи.
«При таких размерах опухоль буквально расплющивает всё вокруг. Многие пациенты годами игнорируют первые симптомы — шум в ухе или снижение слуха, считая их безобидными. Однако за этим может скрываться серьёзная патология. Опухоль удалили, сейчас состояние пациента стабилизируется», - отмечает нейрохирург.
Читайте новости Крыма первыми в нашем Telegram-канале и даже когда не работает мобильный интернет в национальном мессенджере MAX.


